Teeth Grinding/ Bruxism Clinic

Tooth grinding and clenching common issues that affect over 80% of the population at some stage of their life (affects children & adults). Bruxism is the medical term for the grinding and/or clenching of the teeth and jaw. It is a largely of muscular origin, causing you pain, tension and daily fatigue, affecting your quality of life.

Man with brown hair and beard touching his jaw with a pained expression, wearing a gray shirt.

What are the signs & Symtpoms of Bruxism?

  • Jaw pain or soreness that may be worse on waking or at night

  • Jaw pain when biting, chewing or yawing

  • Clicking form the joint when moving your jaw

  • Stiffness or locking of the joint, stiff neck

  • Earache

  • Difficulty opening and/or closing your mouth

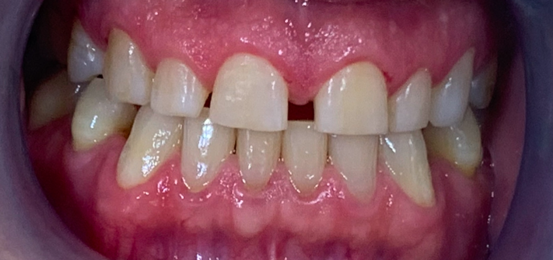
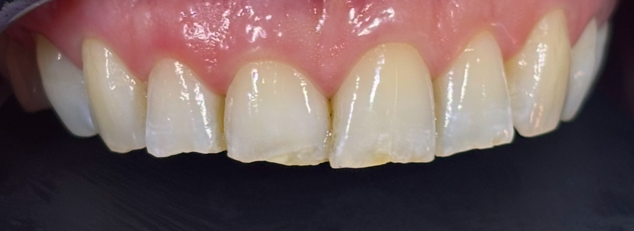
  • Tooth surface loss-worn/shorter teeth/fractured teeth

  • Migraines and headaches on waking

  • Difficulty swallowing

  • Poor sleep, associated with other sleeping disorders i.e snoring and sleep apnea

Close-up of chipped and uneven upper front teeth.
Close-up of human teeth with misalignment and crowding.

How do I get a diagnosis?

A general lack of awareness about the condition, and the wide array of symptoms, means that it is common for sufferers to consult their GP, physio, chiropractor or acupuncturist without considering their dentist. 

What to expect at my Bruxism Clinic

Your assessment will be individual depending on your presentation but usually involves:

  • Duscussing the full history of your complaint

  • Temporomandibular Screening, Patient Health and Chronic Pain Intensity Questionnaire

  • Full muscle examination, range of movement measurement.

  • Intra-oral examination of signs of teeth grinding or clenching.

  • Recording digital photos/ scan or taking impressions of your teeth for monitoring purposes.

Dr Sarah using a dental intra oral scanner on a patient lying in dental chair with dental impression software shown on laptop.

What Treatments are available?

  • Due to the high percentage of cases being caused by stress and anxiety, behavioural therapy may play an important role for some sufferers.

  • Nightguards- soft splints, hard splints and SCI (Sleep Clench Inhibitor) reduce muscle activity, muscle relaxing and protect the teeth from wear. Horses for courses.

  • Botulinum Toxin-When toxin is injected into the muscle, it inhibits the release of acetylcholine at the neuromuscular junction, relaxing the muscle and allowing the over developed muscle to atrophy (de-bulk) I call it the masseter melt!

  • Physiotherapy trigger point massage.

  • Physiotherapy exercises-see Youtube video below.

  • Acupuncture